ご予約・お問合せ0280-77-2222
救急搬入、診断、治療の意思決定、治療開始までの時間を大幅に短縮。
血管内治療のスペシャリストが、スピード感のある治療を提供いたします。
当院は茨城県西部,千葉県西部,埼玉県北部,群馬県東部,栃木県南部で最も脳神経外科手術件数の多い医療機関であり,下記地域を中心とした幅広い地域の脳神経外科・脳卒中医療を担っています(2022年現在)
| 診療科 | 手術名 | 2024年 件数 |
|---|---|---|
| 脳神経外科 | 脳腫瘍:経蝶形骨洞手術 | 1 |
| 脳腫瘍:その他 | 2 | |
| 脳血管障害:高血圧性脳内出血(開頭血腫除去術) | 9 | |
| 外傷:急性硬膜下血腫 | 2 | |
| 外傷:慢性硬膜下血腫 | 44 | |
| 外傷:その他 | 1 | |
| 水頭症:脳室シャント術 | 8 | |
| 水頭症:その他 | 17 | |
| 脊椎・脊髄:変性疾患(変形性脊椎症) | 2 | |
| 血管内手術:動脈瘤塞栓術(破裂動脈瘤) | 20 | |
| 血管内手術:動脈瘤塞栓術(未破裂動脈瘤:コイルを用いるもの) | 33 | |
| 血管内手術:動脈瘤塞栓術(未破裂動脈瘤:フローダイバーターを用いるもの) | 11 | |
| 血管内手術:脳動静脈奇形 | 6 | |
| 血管内手術:脊髄動静脈奇形 | 3 | |
| 血管内手術:硬膜動静脈瘻 | 3 | |
| 血管内手術:脳梗塞に対する経皮的脳血栓回収術等 | 43 | |
| 血管内手術:頸動脈ステント留置術 | 28 | |
| 血管内手術:脳腫瘍塞栓術 | 2 | |
| 血管内手術:その他(血管拡張術等) | 3 | |
| その他:上記の分類すべてに当てはまらない | 7 | |
| 合計件数 | 245 | |
| 診療科 | 手術名 | 2022年 件数 |
|---|---|---|
| 脳神経外科 | 脳腫瘍摘出術 | 3 |
| 脳血管障害:バイパス手術 | 1 | |
| 脳血管障害:高血圧性脳内出血(開頭血腫除去術) | 5 | |
| 外傷:急性硬膜下血腫 | 1 | |
| 外傷:慢性硬膜下血腫 | 48 | |
| 水頭症:脳室シャント術 | 5 | |
| 水頭症:その他 | 1 | |
| 脊椎・脊髄:変性疾患(変形性脊椎症) | 5 | |
| 機能的手術:脳神経減圧術 | 1 | |
| 血管内手術:動脈瘤塞栓術(破裂動脈瘤) | 10 | |
| 血管内手術:動脈瘤塞栓術(未破裂動脈瘤:コイルを用いるもの) | 32 | |
| 血管内手術:動脈瘤塞栓術(未破裂動脈瘤:フローダイバーターを用いるもの) | 15 | |
| 血管内手術:脳動静脈奇形 | 2 | |
| 血管内手術:硬膜動静脈瘻 | 3 | |
| 血管内手術:脳梗塞に対する経皮的脳血栓回収術等 | 42 | |
| 血管内手術:頸動脈ステント留置術 | 19 | |
| 血管内手術:脳腫瘍塞栓術 | 2 | |
| 血管内手術:その他(血管拡張術等) | 12 | |
| その他:上記の分類すべてに当てはまらない | 3 | |
| 合計件数 | 210 | |
| 診療科 | 手術名 | 2015年 件数 |
|---|---|---|
| 脳神経外科 | 脳腫瘍摘出術 | 1 |
| 脳腫瘍経蝶形骨洞手術 | 1 | |
| 脳血管障害:破裂動脈瘤の開頭手術 | 1 | |
| 脳血管障害:脳動静脈奇形の開頭手術 | 2 | |
| 脳血管障害:高血圧性脳内出血(開頭血腫除去術) | 16 | |
| 脳血管障害:その他 | 8 | |
| 外傷:急性硬膜外血腫 | 1 | |
| 外傷:急性硬膜下血腫 | 8 | |
| 外傷:慢性硬膜下血腫 | 35 | |
| 水頭症:脳室シャント術 | 5 | |
| 水頭症:その他 | 8 | |
| 脊椎・脊髄:変性疾患(変形性脊椎症) | 12 | |
| 脊椎・脊髄:その他 | 3 | |
| 機能的手術:脳神経減圧術 | 1 | |
| 血管内手術:動脈瘤塞栓術(破裂動脈瘤) | 21 | |
| 血管内手術:動脈瘤塞栓術(未破裂動脈瘤) | 12 | |
| 血管内手術:動静脈奇形(脳) | 2 | |
| 血管内手術:脳梗塞(ステント用いないもの) | 17 | |
| 血管内手術:脳梗塞(ステント用いるもの) | 40 | |
| 血管内手術:その他 | 11 | |
| その他:上記の分類すべてに当てはまらない | 10 | |
| 合計件数 | 215 | |
主に脳動脈瘤、脳動静脈奇形、血管狭窄症、脳梗塞の病気で行われる治療です。足の付け根又は手首よりカテーテルを挿入し、バルーン、ステントなどを用いて治療を行ないます。フィリップス社特注のバイプレーン・フラットパネル血管撮影装置を常時稼働し、体の中を3Dで立体的に見ながらカテーテルを誘導しています。患者様の身体の負担が少ないのが特徴で、当院のメインとなる手術です。

手術前

手術後
主に脳腫瘍、くも膜下出血、脳出血、脳動脈瘤の病気で行われる治療です。もっとも基本的な脳神経外科施術です。頭の骨を一時的に外し、顕微鏡を用いてクリッピングや腫瘍摘出などを行ないます。

神経を圧迫している部分の骨を取り除く除圧術、不安定な脊椎や狭窄の進んだ脊椎を固定する固定術、外傷によって傷ついた脊椎の再建術などがあります。ナビゲーションシステムと手術中CTを用いて低侵襲(きずが目立ちにくい)で正確な手術を行っています。脳と脊椎は切っても切れない関係です。

胸椎破裂骨折に対する固定術
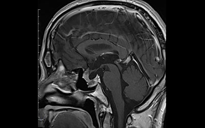
鼻の孔から内視鏡を挿入し脳腫瘍の摘出を行なう手術です。最新最高性能のメドトロニック社製磁場式ナビゲーションシステムを用いて、顔、口腔内、頭皮を傷つけることなく脳内の手術を実施しています。

手術前

手術後(3ヶ月後)
四肢の抹消までカテーテルを挿入し、バルーン、ステントなどで治療を行ないます。

迷惑メール対策などでドメイン拒否設定されている場合にメールが届かない場合がございます。『@tsurumihospital.com』のドメインが受信できるように設定をお願いいたします。